什么是平足有什么影响(什么是平足症?怎么办?)
什么是平足有什么影响(什么是平足症?怎么办?)
足弓是人类脚的重要结构。有了足弓,使足富有弹性。即可吸收地面对脚的冲击力量,又可锁定中足关节,使脚变得坚硬,更好地推动人体活动。扁平足(平足)指的是正常足弓的缺失,或称为足弓塌陷。值得注意的是,平足不等于平足症,也不是所有的平足都需要治疗。如果平足者合并有疼痛等症状时,就被称为平足症,则需要治疗。很多平足者特别是儿童平足没有症状,也不需要治疗,只需要在鞋底放置定制鞋垫即可!可以预防足部骨骼结构进一步变化以及因为身体力线改变导致的膝,髋,腰部并发症。只有部分儿童平足可能会逐渐引起整个身体体态的变化,有一部分平足合并足部骨结构异常,如垂直距骨、倾斜距骨,跗骨联合等。在成人平足中,50岁以上的女性较多。可复性平足或柔性平足尽量在鞋底放置定制的足弓垫防止进一步加重。僵硬性平足难以治疗。

平足症是怎么形成的?
平足可以是先天的,也可以是后天获得的。儿童的足弓常常在4~6岁形成,大部分儿童及青少年平足是先天性的。成人平足可以是儿童平足的延续,也可能是其他原因继发引起,导致足弓塌陷造成的。有症状的成年人继发性扁平足称为成人获得性平足症。引起继发性足弓塌陷的原因有很多如关节退变、创伤、糖尿病、类风湿关节炎、神经性病变、肿瘤、胫后肌腱功能不全等。

足弓塌陷可引起下述足的结构改变:①跟腱挛缩;②中足的松弛。③前足移位④足内侧韧带的损伤;⑤距下关节旋前,跟骨外翻;⑥中足的不稳定使距下关节和距舟关节长时间处于异常位置,久而久之,这些关节发生退变,成为固定性畸形。这样会使踝关节承受更大的应力,最后导致踝关节退变。上述病理改变体现在临床上可表现为:

一、疼痛
通常位于足底内侧(后足后内侧疼痛),且于长期站立或行走后加剧,且常可以出现进行性加重的现象。偶尔疼痛也可位于踝关节外侧外踝附近。这是由于足弓塌陷造成后足外翻,继而腓骨与跟骨相撞击的结果。
二、肿胀
疼痛关节外肿胀,以足舟骨结节处为甚。
三、步态异常
患足疼痛及足弓塌陷可造成跑步甚至行走能力下降,步态异常,如外八字步态。
四、继发改变
可对身体的其他关节造成影响,如因患足的过度外翻及内旋,造成膝关节代偿性外翻及髋关节代偿性外旋等,继而可能引发膝、髋、下背等部位的疼痛和关节炎。个别平足的患者可能以下背痛为惟一的症状。
五、严重的扁平足
可见足踝部其他关节受累,如距下关节和跗横关节的柔韧性降低甚至僵硬。

六、其他伴发症状
可同时伴发有跖筋膜炎、跗骨窦综合征等。
怀疑患有平足症需要做什么检查:
体格检查最重要,注意站立状态下足纵弓的形态。足部结构可能在坐位时表现为正常,但在站立受力后即发生明显的改变。从后方检查,可见受累的后足一般呈外翻。
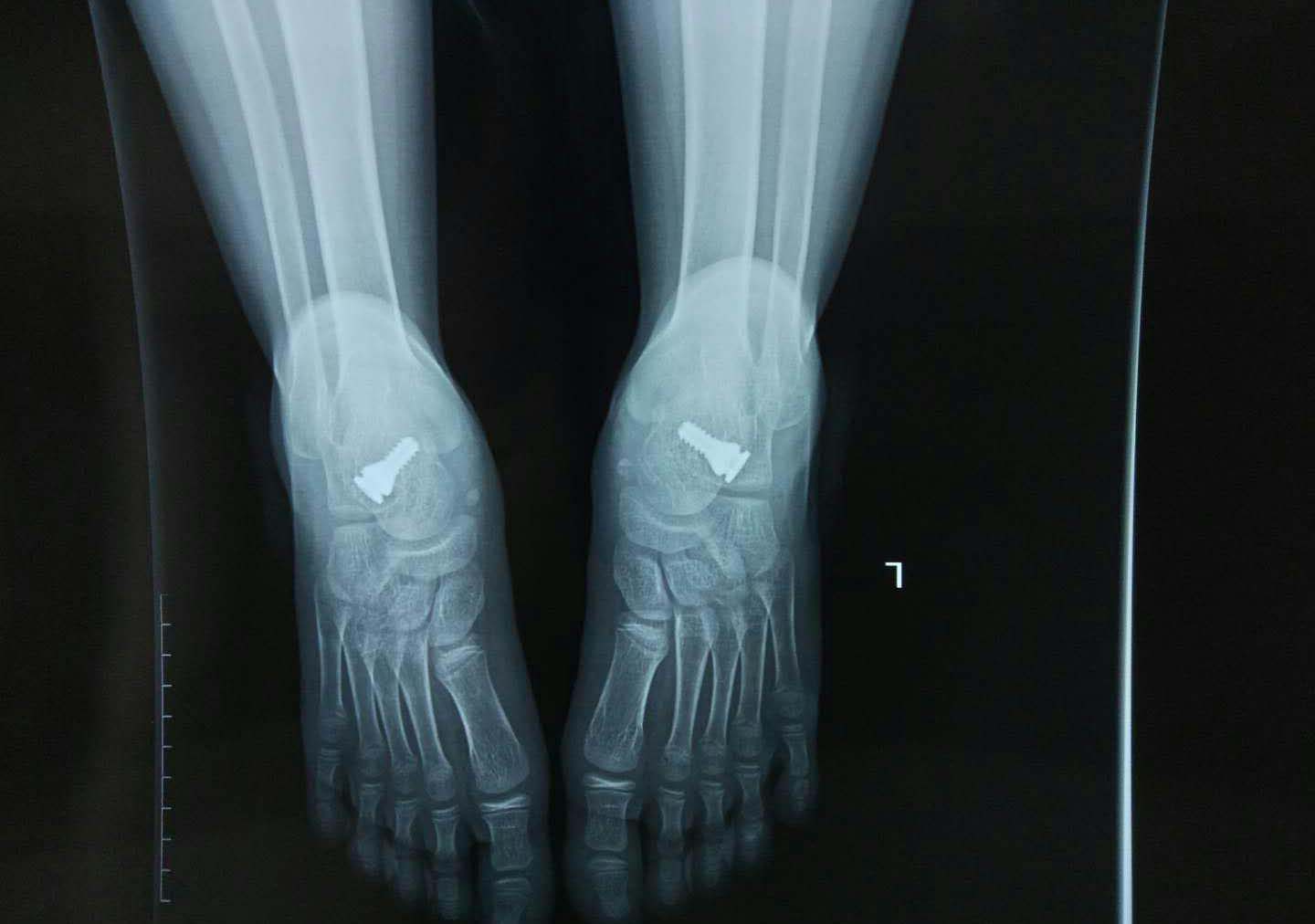
辅助检查方法主要是X线检查!
如何判断是否患有平足症呢?
①有先天性足骨排列异常或足部创伤症、超限负荷、足部肌肉韧带软弱等病史。②足部纵弓塌陷,足底扁平。足跟外翻,行或久站易感疲乏、疼痛和压痛。③足印检查无弓状缺损区,并确定平足型及程度。④X线片显示足纵弓塌陷,跗跖骨轴线关系改变。

治疗方法都有哪些?
治疗一、穿定制的足弓垫
治疗二、微创手术,放置距下关节稳定器,适合于6岁以上儿童,成人也可以使用。
治疗三、石膏矫形,次数多,还需要一次手术,效果不满意的比较多
距下关节稳定器虽然贵,却是治疗平足症的终极武器!

-
- 啤酒鸭怎样做才好吃?分享几个小技巧,不腥不腻,鲜香入味
-
2026-03-24 21:39:32
-
- 团队和谐温暖的短语(有爱有温度有情怀的团队)
-
2026-03-24 21:37:18
-
- 你敢不敢对你最好的异性朋友表白(假如你最好的异性朋友和你表白了)
-
2026-03-24 21:35:04
-
- 相得益彰的拼音(相得益彰拼音怎么写的拼)
-
2026-03-24 18:21:39
-
- 农业谚语摘抄大全(句句精辟!农忙时的15句农业谚语,你知道几条?)
-
2026-03-24 18:19:25
-
- 幻灯片版式(幻灯片版式如何全部应用)
-
2026-03-24 18:17:11
-
- 夫妻自己签的婚内协议有没有法律效力
-
2026-03-24 18:14:56
-
- 怎样炖牛肉软烂不柴又好吃(炖牛肉时只要学会)
-
2026-03-24 18:12:42
-
- 阴dao松驰影响夫妻性生活和谐 哪些方法可以有效缩阴
-
2026-03-24 18:10:28
-
- 夫妻该怎么经营婚姻
-
2026-03-24 18:08:14
-
- 当中华风遇上洛丽塔内搭,极致梦幻的完美组合,难怪lo娘爱不释手
-
2026-03-24 18:05:59
-
- 怎么幻化装备(梦幻装备怎么幻化)
-
2026-03-24 18:03:45
-
- 养殖的娃娃鱼可以买吗?养殖的娃娃鱼可以买吗?现在
-
2026-03-24 18:01:31
-
- 君子成人之美的下句,“君子成人之美”的下一句是什么?
-
2026-03-24 15:17:25
-
- 分居要给孩子生活费吗 分居有第三者算出轨吗
-
2026-03-24 15:15:11
-
- 杨洋真名(杨洋的本名)
-
2026-03-24 15:12:56
-
- 吴倩都怀孕22周了?她老公原来是永远扑克脸的靖王属下列战英
-
2026-03-24 15:10:42
-
- 伪娘什么意思,伪娘是什么意思?相对的是什么呢?
-
2026-03-24 15:08:28
-
- 女生问吃饭了吗怎么幽默回复 吃饭了吗怎么接着聊天
-
2026-03-24 15:06:13
-
- 鲁达当和尚打一成语,鲁达当和尚打一成语是什么成语
-
2026-03-24 15:03:59



刚开荤的男生是不是收不住?亲身经历
抖音牛逼姐和她男朋友视频什么瓜抖音nb姐吃瓜视频事件完整版